- Superintelligence
- Posts
- AI Saves Lives
AI Saves Lives
Hey friends! Welcome to the latest edition of Superintelligence AI! Hope you all had a fantastic weekend! Today’s AI scene is packed with exciting news: Morgan Stanley rolled out AI @ Morgan Stanley Debrief. We also dive into Mirai, a breakthrough AI model for predicting breast cancer risk up to five years in advance. Additionally, Apple’s AI features are delayed. Stay tuned for all these updates and more global AI happenings. Let’s dive in and enjoy the AI ride!
The AI World Today
AI Enhances Cancer Detection
Apple Intelligence Luanch Delayed
AI Summit In Fance Pushes Action
AI Dominates Indian Shopping
Meet New Code-Free AI Data System
+
Heads Up
Save the Date
AI Solutions
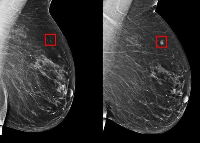
AI-Powered Model Improves Breast Cancer Prediction

Image: Sciene.org
A recent study published in Science introduces Mirai, a mammography-based deep learning model designed to predict breast cancer risk up to five years before it emerges. Developed to improve early detection and reduce screening harm, Mirai was trained on data from Massachusetts General Hospital (MGH) and tested on datasets from MGH, Karolinska University Hospital in Sweden, and Chang Gung Memorial Hospital (CGMH) in Taiwan. Mirai achieved C-indices of 0.76, 0.81, and 0.79, respectively, surpassing the Tyrer-Cuzick model and prior deep learning models. It accurately identified 41.5% of high-risk patients who would develop cancer within five years, compared to 36.1% by Hybrid DL and 22.9% by Tyrer-Cuzick. These results underscore Mirai's potential to refine clinical workflows and enhance targeted screening strategies, promising earlier detection and better patient outcomes.
Apple's AI Features Delayed Until October Release

Screenshot: Apple/YouTube
Apple’s upcoming artificial intelligence features will be delayed, missing the initial launch of the iPhone and iPad software overhauls, Bloomberg News reported. Apple plans to roll out Apple Intelligence by October, following the iOS 18 and iPadOS 18 releases in September. AI features will arrive via iOS 18.1 and iPadOS 18.1 betas available for early testing. Apple Intelligence, capable of generating text, images, and other content, will be available on iPhone 15 Pro, iPhone 15 Pro Max, and devices with M1 chips or later. This delay follows Apple’s efforts to comply with EU tech regulations. The push for AI features aims to enhance user experience and bolster sales amid market competition. Apple did not respond to requests for comments outside regular business hours.
AI Summit to Demand Concrete Global Commitments

Illustration: Superintelligence/ChatGPT
The AI Action Summit on February 11, 2025 in France, aims for hard policy commitments from global actors. Anne Bouverot, France's special envoy for AI, emphasized shifting from voluntary commitments to concrete actions in an interview on the Washington AI Network podcast. Bouverot stressed involving all countries in the AI innovation economy, ensuring widespread participation. Despite multiple summits post-ChatGPT, voluntary agreements lack clear benchmarks. Bouverot urged for tangible actions, including access to computing, data, and practical training. The alignment problem complicates global AI regulation, as it involves balancing diverse values and perspectives in AI systems.
Majority of Indians Prefer AI for Shopping

Illustration: Superintelligence/ChatGPT
A recent study by Capterra reveals that 51% of Indian consumers prefer using AI chatbots and QR codes for online shopping. The survey, involving 500 online shoppers, found that 72% use AI-enabled chatbots for product searches, while 42% favor AI-based recommendations. Other popular technologies include voice recognition (41%), AR/VR (39%), and livestream shopping (38%). The metaverse and biometric recognition are the least used, with 31% and 34% respectively. Analyst Sukanya Awasthi highlighted the significant openness to technology integration among Indian consumers. The study also noted that 65% of shoppers follow brands due to social media ads, with 73% open to relevant ads. However, 22% have stopped using social media due to advertising. The findings emphasize the need for businesses to adapt to evolving consumer preferences.
LAMBDA: Open-Source System for Data Analysis

Screenshot: Huggingface
LAMBDA, a novel open-source, code-free multi-agent data analysis system, is now available, harnessing the power of large models for complex data-driven applications. LAMBDA innovatively uses data agents operating iteratively and generatively via natural language. It features two key agents: the programmer, generating code based on user instructions and domain knowledge, and the inspector, debugging the code. Users can intervene directly through a robust interface, ensuring seamless operations. LAMBDA also integrates external models and algorithms through a flexible knowledge integration mechanism, enhancing customization for data analysis. Demonstrating strong performance on various machine learning datasets, LAMBDA aims to revolutionize data science by merging human and artificial intelligence, making advanced data analysis more accessible, effective, and efficient for users from diverse backgrounds.
Heads Up
AI Tool: NIST releases a tool for testing AI model risk
AI Safety: Apple signs the White House’s commitment to AI safety
AI Robotaxi: What’s it like to ride in China’s AI-driven robotaxi?
AI Market: Intel eyes local surging data center and PC markets amid Indian AI push
AI Innovation: Stanford Engineering and Toyota Research Institute achieve autonomous milestone
AI Africa: Intron Health gets backing for its speech-recognition tool that recognizes African accents
Save the Date
Fall 2024: Don’t miss UAE AI University’s week long Executive program on AI
AI Solutions
Morgan Stanley Debuts AI Tool for Financial Advisers

Illustration: Superintelligence/ChatGPT
Morgan Stanley has launched AI @ Morgan Stanley Debrief, a new generative AI tool to aid financial advisers. Developed with OpenAI, this tool summarizes video meetings and generates follow-up email drafts. It integrates seamlessly with Microsoft Outlook, Zoom, and Salesforce, enhancing workflow efficiency. This follows the successful September 2023 rollout of an AI knowledge assistant that helps advisers access Morgan Stanley research swiftly. Co-founder and CEO of Evident, Alexandra Mousavizadeh, notes the trend towards customized AI solutions in finance for better integration and workflow efficiency. Morgan Stanley’s strategic partnership with OpenAI since 2022 allows them to tailor tools to meet regulatory and operational needs, opting for in-house development over off-the-shelf solutions to better serve their advisers and clients.